【学习强国】医技知识丨无故呕吐、反复打嗝、视力下降,小心患了这种罕见病……





23岁的李女士在3个月前无缘无故出现频繁恶心呕吐,完全停不下来,吃什么吐什么,还一直打嗝,全身冒冷汗。本以为是普通的“胃肠炎”,在家熬了3天却仍没有缓解。10天前,她甚至开始出现眼睛疼痛,视力下降,短短一天时间,双眼就什么都看不见了。她,究竟是怎么了?
由于好几天没吃什么东西,李女士日渐消瘦。于是,家人连忙送她到当地医院消化科就诊,查了血、拍了胸腹X片,并没有发现异常,诊断为“急性胃肠炎”。用“胃复安针”和“补液针”7天,还是没有明显好转。没办法,索性咬咬牙,去检查了胃镜,胃镜提示“慢性非萎缩性胃炎伴胆汁反流”。就按照胃炎来治疗,可情况却越来越糟。
10天前,李女士晨醒后,发现双眼看东西黑朦朦的,仿佛盖了层黑纱,转一转眼珠,痛得要命。她第一反应是视力下降了,更恐怖的是,不到一天的时间,她就什么也看不到了。经温州医科大学附属第一医院眼科医生检查,没有发现眼球问题,认为可能与视神经或大脑有关,便转入神经内科住院治疗。
入院后,李女士还逐渐出现面部如虫爬感、四肢没力气、麻木感、背部瘙痒感、声音低沉、小便费力等情况。头颅和颈髓磁共振(MRI)发现“延髓及颈髓多发病灶”,视神经MRI提示“双侧视神经炎”。查血清水通道蛋白4(AQP4)抗体1:100阳性。这个AQP4抗体引起了神经内科医生的注意。到了此处,这种怪病才显山露水:原来,导致李女士胃部不适又突然失明的罪魁祸首,居然藏在这里!完善各项检查,李女士最后被诊断为“视神经脊髓炎谱系疾病”。
为什么会有人得这种罕见病呢?罕见病的发现和诊断往往非常困难,我们要提早认识它、了解它。
什么是视神经脊髓炎谱系疾病?
视神经脊髓炎谱系疾病(NMOSD)是一组主要由体液免疫参与的抗原-抗体介导的中枢神经系统炎性脱髓鞘谱系疾病,主要累及视神经、脊髓、 延髓等。
视神经脊髓炎谱系疾病临床上多以严重的视神经炎、纵向延伸的长节段横贯性脊髓炎、极后区综合征为特征表现。常见于20-40岁青壮年,以女性居多,男女患病比例高达1:9-11,复发率及致残率高,给患者带来了很大的痛苦。约三分之一的患者首发症状表现为顽固性呃逆、恶心、呕吐,往往易误诊为消化道疾病,直到出现神经系统障碍才得以诊断。因此极易延误治疗,导致严重的视神经炎发作导致失明或急性脊髓炎导致瘫痪在床。随着对该疾病的认识逐渐加深,2018年视神经脊髓炎谱系疾病被纳入中国国家罕见病目录。
视神经脊髓炎谱系疾病有什么临床表现?
视神经脊髓炎谱系疾病发病比较急,临床归纳主要有六大症候群:
视神经炎:一只眼睛或双眼同时出现,或先后出现视力下降。
急性脊髓炎:发病急,症状重,急性期多表现为双下肢无力或四肢无力,身体和四肢感觉消失或麻木感,甚至瘙痒刺痛感,大小便困难。病情严重者还会影响呼吸功能,导致呼吸费力。
延髓极后区综合征:顽固性打嗝(呃逆)、恶心、呕吐。
急性脑干综合征:头晕、看东西双影,行走东摇西摆。
急性间脑综合征:嗜睡、体温波动剧烈、血清中钠离子顽固性降低。
大脑综合征:记忆力下降、口齿不清、头痛等症状。
视神经脊髓炎谱系需要进行哪些检查?
由于视神经脊髓炎谱系疾病症状常会同其他常见的疾病症状相混淆,诊断出视神经脊髓炎谱系疾病并不容易,医生在诊断时,首先会以客观病史和临床体征为基本依据;其次将充分结合各种辅助检查,特别是血清水通道蛋白4抗体检测和核磁共振(MRI)检查;还有视力、视野、眼底照相、OCT、脑脊液检查、诱发电位等,最后还需排除其他可能疾病。

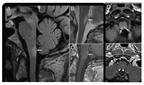
NMOSD患者MRI检查显示延髓极后区病变(箭头所示)

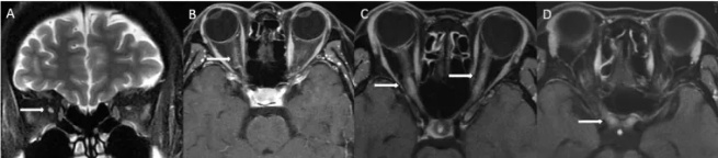
NMOSD患者MRI检查显示视神经病变(箭头所示)A:单侧ON;B:急性期视神经强化;C:双侧视神经炎,病变节段>1/2;D:病变累及视交叉

NMOSD患者MRI检查显示脊髓病变(箭头所示)
视神经脊髓炎谱系疾病能治吗?
视神经脊髓炎谱系疾病的治疗需要分两个阶段,包括急性期治疗和缓解期治疗。急性期治疗的目标是以减轻急性期症状,缩短病程,改善残疾程度。常用药物为大剂量糖皮质激素或者静脉注射免疫球蛋白,治疗效果欠佳者还需血浆置换或免疫吸附治疗。缓解期治疗的目标是以减少复发频率和延缓残障,主要包括一系列免疫抑制药物,如硫唑嘌呤、吗替麦考酚酯、利妥昔单抗等。但应用免疫抑制治疗可能会导致不良反应。在视神经脊髓炎谱系疾病缓解期治疗中,需定期在神经内科随访。
李女士住院期间经过大剂量糖皮质激素冲击治疗后,综合考虑药物效果、不良反应和经济情况,选用吗替麦考酚酯治疗。症状缓慢消失,能自行走路,但仍遗留右眼视力减退,后背部时有刺痛感。在门诊随访时,她总是说:“要是出现恶心呕吐的时候就到神经内科来看该多好,也不会出现后面的症状。”
开头所提及的“顽固性恶心、呕吐、呃逆”症状,常见的原因还是以消化系统疾病为主,但我们建议出现以下情况的患者要及时去神经内科就诊;内科医生或消化科医生可考虑给患者安排一个头颅磁共振或请神经内科医生会诊:
1. 呃逆和呕吐持续时间长,消化内科检查没有发现与症状相符,经消化内科治疗无法缓解;
2. 出现以上情况,若是女性合并其他确诊的自身免疫系统疾病(如干燥综合征、系统性红斑狼疮、桥本氏甲状腺炎等);
3. 曾经有不明原因的视力下降、眼痛、肢体无力麻木、躯干瘙痒或刺痛感等。
早期诊断、及时治疗,为患者争取机会。急性期的激素治疗,缓解期的免疫调节治疗能控制病情,改善其症状,避免出现无法缓解的失明和严重瘫痪。
总而言之,随着对疾病认知度的提升,视神经脊髓炎谱系疾病患者将得到更及时、有效的诊断与治疗。