【学习强国】医技知识丨这种病很常见,对人影响却很大 拿破仑、诺贝尔都患有这种病





世界卫生组织报告,全球癫痫患者约6000万人,我国癫痫患者超过900多万。癫痫到底是什么病?会不会遗传给孩子?发作的时候又该怎么处理呢?一起来了解一下。
陈某,每隔几个月会突然发作神志不清、跌倒在地,然后出现四肢抽搐,伴牙关紧闭、口吐白沫、双眼上翻,有时还伴小便失禁,每次抽搐两三分钟,持续半小时才彻底清醒过来;大学生胡某,经常性出现发作性恐惧感,每次发病时大脑空白,呼吸加快,用手遮脸,表情惊恐,每次十来秒钟结束,刚开始几个月发作一次,后来一天发作好几次;大学教师林某,在给学生上课时经常会突然停住发愣数十秒。
他们都是患了同一种疾病,就是癫痫。经过温州医科大学附属第一医院癫痫门诊治疗之后,他们的情况都得到了有效控制,能够正常工作、学习。接下来,以一位患者为例向大家介绍一下她的诊疗过程:
患者小陈,26岁,从小生长发育正常,身体健康。但是最近10年,她突然开始出现反复突发神志不清、跌倒在地,然后出现四肢抽搐,伴牙关紧闭、口吐白沫、双眼上翻,有时候还伴小便失禁,每次抽搐两三分钟,持续半小时左右才彻底清醒过来。

身处农村的她一开始被家人误以为是“鬼魂附体”,开始给她“做法事、驱魔”,结果无济于事,反而发作越来越频繁了。刚开始时,她半年才发一次,后来几个月发一次,再后来几乎每个月都会发作。后来,她到当地一家不正规的 “癫痫专科门诊”就诊,他们给她开了一堆不知名的药物,自称祖传秘方。她在服用这些药物之后,全身抽搐的发作有所减少,但出现了经常突然发愣、反应迟钝,发愣时双手不停抓衣角,每次一分钟左右好转,且发作越来越频繁,每周发作好几次,还出现了记忆力减退、手抖、满脸痘痘、牙龈增生等情况。
后来,无比苦恼的小陈经人介绍辗转来到温医大附一院癫痫门诊求助。医生接诊后,细心分析她的病情,判断可能是患上了“颞叶癫痫”。为了明确诊断,患者做了脑电图检查,脑电图的结果提示左侧颞叶为主的癫痫放电。

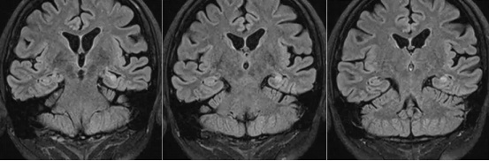
经头颅磁共振检查,发现存在左侧海马硬化、颞叶萎缩。至此,患者的诊断基本明确了,符合“颞叶癫痫”的诊断。

接下来就是治疗的问题了,由于患者之前在不正规诊所服用了多种不知名药物,癫痫发作得到一定程度的控制,原来表现为全身抽搐的“大发作”明显好转了;但出现了表现为发愣伴无意识手部刻板动作(自动症)的“小发作”,那是因为原来迅速扩散到全脑的放电被部分抑制了,但抗癫痫药物的疗效不够,脑部放电还没有被完全抑制,局部还存在异常放电。
患者在服药后出现了记忆力减退、手抖、满脸痘痘、牙龈增生等明显副作用,说明当地诊所可能使用了一些很老的抗癫痫药,如苯巴比妥和苯妥英钠。这些抗癫痫药虽然有一定疗效,但副作用很大,现在已经尽量采用近几十年开发出来的新型抗癫痫药。因为这些新型药物疗效不比传统抗癫痫药差,且副作用明显减少,可以大大提高患者的生活质量。
为了验证患者所用药物,我们给患者化验了常用的抗癫痫药物血药浓度。不出所料,患者血苯巴比妥和苯妥英钠浓度明显升高,提示患者服用了这两种抗癫痫药。之后,医生用奥卡西平和左乙拉西坦这两种药逐渐替代了苯巴比妥和苯妥英钠。在医生的精心治疗下,小陈的病情逐渐得到了控制,已经一年多没有发作了,且记忆力明显好转,手抖、痘痘和牙龈增生也有了一定程度的改善,恢复信心的小陈还找到了工作,生活逐渐步上正轨。
1. 什么是癫痫?

癫痫,俗称“羊癫疯”,是一种大脑的慢性疾病,表现形式是反复的痫性发作。正常人大脑中的神经细胞纤维网络就像一个错综复杂的电线网络,神经细胞之间通过正常的神经传导(电冲动)维持大脑正常的生理功能,支配人体的感觉、运动和精神活动等。一旦因为某种原因,大脑中神经细胞之间的平衡被打乱,神经元突然异常放电,神经网络的电活动异常活跃。当这种过度的同步化放电在大脑中传播时,癫痫就发作了。
2. 癫痫常见吗?
癫痫是神经系统第三大疾病,目前全球有6000多万癫痫患者,我国约有900万癫痫患者,发展中国家发病率高于发达国家。在历史上有很多名人也患有癫痫,包括著名的科学家诺贝尔、凯撒大帝、军事家拿破仑、画家梵高以及功夫明星李小龙等。
3. 癫痫是遗传病吗?
经常有患者家属会问:我们一家世代都没有癫痫,为什么我的孩子会得癫痫?实际上,除了少部分遗传性癫痫之外,大部分的癫痫并非遗传病。癫痫病有一定的遗传倾向,癫痫患者的子女约有2.4%-4.3%也会患上癫痫,但大部分癫痫患者的后代还是正常的。另外,如果癫痫是由脑外伤、脑梗塞、脑炎等引起的,是不会遗传的。因此患者及家属不必过于担心癫痫的遗传问题。
4. 癫痫发作都有哪些表现?
癫痫发作表现形式多样,常见的表现包括:



除此之外,还有很多表现发作性的少见症状,比如我们前面提到的发作性恐惧、发作性四肢过度运动等,都可能是癫痫的表现。
5. 哪些检查能帮助我们诊断癫痫?
首先,最重要的检查就是脑电图。癫痫发作从根本上来说是脑电过度放电引起的,因此脑电图如能抓到过度放电的表现,则是诊断癫痫的重要依据。正常人的脑电可能是这样的,波澜不惊:

而癫痫患者的脑电图可能会有很多的惊涛骇浪,比如小陈的脑电图,又比如下面这种脑电图:

当然,这只是比较典型的案例,临床上可能会有一些发作较少或症状较轻的患者的脑电放电通过头皮脑电图很难抓到,需要反复检查、进行长程的脑电图检查或颅内电极脑电图才能明确。其次,我们要进行头颅磁共振检查,因为磁共振可以帮助我们发现癫痫的病因。在癫痫患者的检查中,我们可以发现各种各样的结构性异常,除了小陈那样的海马硬化,还可以见到如下病变:

但是,可能更多的癫痫患者的头颅磁共振检查结果是正常的,因为由脑结构异常引起的症状性癫痫在成人中占比可能不到一半,在儿童中占比就更低了。但一旦发现有可以解释癫痫原因的结构异常,就有可能通过针对性的治疗或手术的方法从根源上解决导致癫痫的病因,达到完全消除癫痫发作。否则,就可能需要长期服药控制癫痫发作了。另外,有少部分的疑难癫痫患者可能还需要进行腰穿脑脊液检查、脑动脉造影、PET-CT、自身免疫性脑炎抗体检测、癫痫相关基因检测等各项检查。
6. 癫痫发作的时候家属该怎么办呢?
当癫痫发作的时候,家属可采取以下措施:
①移开患者身旁的硬物,协助患者侧卧,以利于口涎的流出,解开其上衣领扣,保持患者呼吸道通畅。
②不要捆绑或压制患者抽搐部位,不要强行往患者嘴里塞东西。
③发作后昏睡不醒时,尽可能减少搬动,让患者适当休息。
④密切观察患者的病情,详细记录患者病情发作时的情况(如有可能手机录制发作视频);
⑤如果发作持续超过5分钟不缓解,尽快送到医院急诊。
7. 癫痫如何治疗,治疗效果好吗?
约70%的癫痫患者通过合理的抗癫痫药物治疗可以达到良好的控制,保持长期无癫痫发作。但是,仍有近30%的患者会是药物难治性癫痫,这部分病人如通过两种以上合理正规的治疗方案治疗后仍不能有效的控制发作,就可能需要进一步深入检查寻找病因。比如以往认为是难治性癫痫的部分病人,后来经检查发现患上了自身免疫性脑炎,最后通过免疫治疗后获得了很好的疗效。一部分病人通过手术切除癫痫灶、生酮饮食等治疗也使得发作得到了很好的控制。
8. 癫痫治疗的误区:
① 癫痫一段时间不发作就可以停药了?
No!癫痫是个慢性病,需要长期服药治疗抑制脑细胞放电才能达到很好的控制,切忌三天打鱼两天晒网,这样反而容易诱发发作加重成为癫痫持续状态,危及生命!一般来说成人起病的癫痫,起码要达到持续无发作3-5年才有可能考虑减停药物。
② 一些医院会开具多种药物进行所谓鸡尾酒疗法,这样做合理吗?
癫痫的初始治疗肯定是单药治疗,只有在单药治疗不能有效控制癫痫的情况下才可能采用两种及以上药物联合治疗。总体来说,多药联合治疗的副作用大于单药治疗,而且联合治疗的药物越多副作用越大。联合治疗要尽量用不同作用机制、副作用不叠加的药物,是需要经过专业培训的医生进行合理的选择用药的。
③ 有些地方宣传自己是纯中药制剂,现在有明确能治疗癫痫的中药吗?
答案是否定的,目前还没有任何一种中药被证实能有效治疗癫痫。很多不正规诊所是通过在中药里面掺杂了西药来治疗癫痫的,并且为了节省成本,他们往往加入很多廉价的副作用较大的传统抗癫痫药,对患者造成很多危害。
其实癫痫病很常见,通过合理的治疗,大部分的癫痫患者是可以正常工作学习的,希望癫痫患者多给自己信心、多配合治疗。