【学习强国】医技知识丨样貌变丑,请小心“垂体瘤”这种病





知乎热榜上经常会出现这样的神问题:越长越丑是一种什么样的体验?
如此这般那般的催泪体验,数度引发众网友100万+的浏览量,挑起了很多人经年累月潜藏在内心的伤痛……
其实,样貌变丑的原因有很多,生理的、心理的、物理的、化学的。然而,让青春不发光的除了肥肉和痘痘,还有一个不容忽视的罪魁祸首――“垂体瘤”!
专业解答:“垂体瘤”中有一种生长激素型垂体腺瘤,它会引起生长激素分泌过多,不仅会使容貌变丑,还会引发多个内脏器官功能异常,甚至导致视力下降和失明,是一种特别需要警惕的神经内分泌肿瘤疾病。
来自一位女士越长越丑的亲身经历――
高女士,27岁,本该是肤白貌美的年龄。可是近两年,她却发现自己的鼻子变得越来越宽、嘴唇越来越厚、眉骨越来越凸,更讨厌的是,皮肤也开始变得粗糙,手掌和足部逐渐肥大,甚至连说话的声音都变得嘶哑……半年前,她的视力开始模糊,月经也不正常了。这到底是怎么回事?
感觉到不对劲的高女士直奔医院,很庆幸,她没有头脑一热就跑去整容,而是很理智地在医院里进行各种疾病的排查。她先是去了当地医院的妇科就诊,B超显示子宫未见明显异常,药物调经后,月经好了一些。但高女士的视力却恶化得相当快,越来越模糊,她辗转多家医院求诊,却一时难以确诊病因。最后,高女士来到温州医科大学附属第一医院神经外科求助。
该院神经外科副主任苏志鹏主任医师接诊后,耐心细致地分析她的病情、综合研判,初诊考虑其患有肢端肥大症。经进一步检查,发现高女士多个激素水平明显异常增高,特别是生长激素(GH)和泌乳素(PRL),这两个指标增高是导致面容变丑、月经不正常甚至闭经的直接“导火索”。

▲ 术前垂体激素明显异常增高
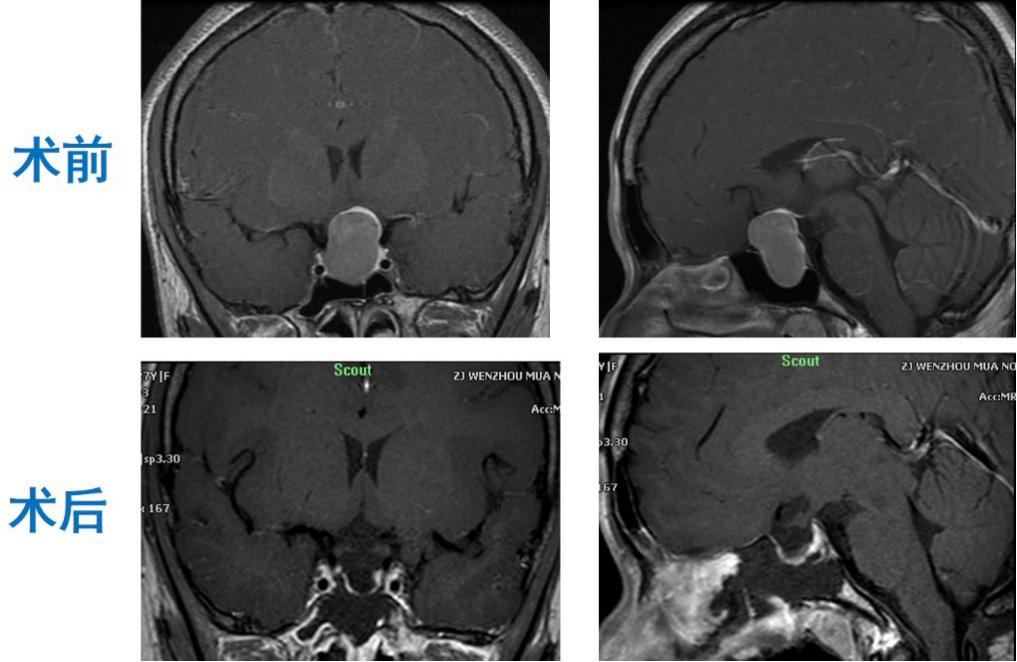
随后的磁共振进一步检查发现,她的颅内深部有一个近3厘米的垂体瘤,视神经和正常垂体明显受压。

▲ 磁共振检查发现鞍区肿瘤约3公分
这一下,可把罪魁祸首给揪出来了。正是隐藏在暗处的“垂体瘤”,导致高女士出现上述的种种负面症状。

术后的第二天,高女士就感觉视线亮敞了很多,就连之前一直感觉麻胀、连握拳都困难的双手,也变得轻松了很多。

▲ 术后双眼视野较术前有了明显改善(深色部分提示视野缺损或障碍,白色及浅色部分提示视野正常)
复查结果显示,她的垂体激素均恢复到正常水平,磁共振检查提示肿瘤完全切除。

▲ 术前异常增高的激素术后均恢复正常水平

▲ 磁共振检查提示肿瘤完全切除
垂体,是一颗位于大脑正中的卵圆形小体。它个头小小,却是身体内最复杂的内分泌腺体。全身内分泌腺体的活动,都离不开它的指挥,是名副其实的人体激素调控“总司令”!但这位日理万机的“总司令”,也有生病颓废、不想上班的时候。
垂体瘤,便是垂体最常见的病症。据国内外统计显示,垂体瘤发病率占颅内原发肿瘤的15%至20%,是排名第二位的原发性神经系统肿瘤。
肿瘤引发垂体激素异常分泌,由于异常增高的激素类型不同,导致症状也复杂多样。比如:泌乳素异常增高将导致女性乳汁分泌、月经紊乱、不孕不育,男性阳痿早泄、性欲降低;生长激素异常增高会出现肢端肥大、容貌变丑的情况;促肾上腺皮质激素异常增高会导致向心性肥胖、皮肤菲薄及紫纹、骨质疏松、高血压和糖尿病等;再或者肿瘤个头过大,压迫视神经,会导致视物范围缩小和视力下降。
在此温馨提醒大家,如有上述症状,千万别掉以轻心,以免延误病情。垂体瘤是良性肿瘤,早发现早治疗,大多数患者经过治疗可以有很好的效果。