【学习强国】医技知识丨谈谈中老人的膝盖疼





年纪大了,走得稍微快些、时间稍长些膝盖就会痛,疼痛感就会加重。坐得久些,刚起来那几步走都走不了,拎点米,提桶水,膝盖也痛的要命,甚至有时没做什么就吹吹冷风也会疼痛难忍……
温州有句古话:“人老腿先老”,意思就是人的衰老先从“脚”开始,随着年龄的增长我们身体的各个“零部件”也会开始慢慢的老化。今天,我们就来谈谈中老人的膝盖疼吧!
方阿婆是土生土长的温州人,今年67岁,这几年走路时膝盖越来越疼,尤其是走楼梯的时候,特别费劲。最近,她连上楼都得用手撑着膝盖才能勉强上楼,且走起来总感觉膝盖里有“嘎啦嘎啦”的声音,两条腿的膝盖都痛,连上厕所都蹲不下去,勉强蹲下去了,站起来又很困难。晚上睡觉也不安稳,于是就到门诊来求治,按阿婆的原话,整体感觉就两个字――“难受!”方阿婆的体型比较胖,膝盖的负担可想而知。
像方阿婆这种情况在老年群体当中非常常见。老人们都管这叫“长骨刺”,临床上诊断为膝关节退行性关节病(膝骨关节炎)。
我们常说的膝骨关节炎,常常是因为膝关节长期活动发生了软骨磨损,软骨磨损以后就会出现关节炎症反应主要表现为疼痛。所以经常会有人觉得“是不是只要不运动,就可以减少和预防关节炎的出现?”这种认识是错误的!究竟是什么原因?一起往下看看。
疼痛是膝骨关节炎的主要症状,经常出现在早上起床或坐久了起来的时候,表现为钝痛。晨起或关节处于某一位置过久后,疼痛最为明显,稍加活动后即可减轻。但活动过多时,由于膝关节摩擦又感疼痛,气候变化时疼痛加重。患者感到膝关节不灵活,休息后更觉明显,但走多了又会觉得疼。天气变冷或夏天吹了空调时,也会觉得膝盖疼。慢慢的,患者会觉得膝关节越来越不灵便,走路不走路都觉得疼痛不适。

膝关节可能还会出现僵硬状态,活动时可发出粗糙的摩擦声。这些症状可随着病理变化的加剧而加重。除疼痛外,局部肿胀、肌肉萎缩,甚至出现关节变形,活动受限。

我国中老年人群中,有症状的膝骨关节炎的患病率为8.1%,随着老龄人口增多且有不断升高的趋势。该病严重影响患者生活质量并有很高的致残率,对社会和家庭造成巨大负担。
一、膝骨关节炎是什么原因导致的?
怕“老”: 软骨的愈合能力随着年龄的增长而降低,膝关节会不断地退化衰变。
怕“胖”: 体重增加了所有关节的压力,尤其是对膝盖的压力。多余的每斤体重对膝盖来说都是格外的负担。

怕“磨”: 长期从事跑步、登山等增加膝关节磨损的相关运动,或经常跪、蹲作业或负重搬运,膝关节磨损会增加。一旦磨损过度,就很难恢复了。
怕“冷”: 目前,还没有证据表明,寒冷会增加骨关节炎的发病率。但是,膝骨关节炎患者往往都怕冷,俗称“老寒腿”,这是对冷的感觉敏化所致!

怕“伤”: 由于外伤、手术或其他因素导致的软骨破坏或关节结构破坏改变,可能会引起创伤性的膝骨关节炎,造成长期膝关节疼痛。
二、膝骨关节炎有哪些症状?
①疼痛:初期为轻度或中度间断性隐痛,休息后好转,活动后加重;疼痛常与天气变化有关,寒冷、潮湿环境均可加重疼痛,后期可以出现持续性疼痛或夜间痛。
②关节畸形:膝关节因骨赘形成或滑膜炎症积液也可造成关节肿大,膝关节内翻或外翻畸形(即O型腿或X型腿)。

③膝关节僵硬:晨起时关节僵硬及发紧感,俗称晨僵,活动后可缓解。关节僵硬持续时间一般较短,常为几分钟,极少超过30分钟。
④膝关节活动受限:活动能力下降,难以上下椅子、汽车、上楼梯或走路。
⑤骨摩擦感:膝盖移动时感到嘎吱作响的声音。
三、怎么知道有没有患上膝骨关节炎?
上文提到了膝骨关节炎的典型症状,医生在详细掌握了你的症状之后,会进行影像学检查。
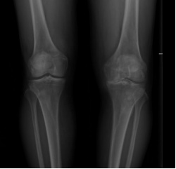
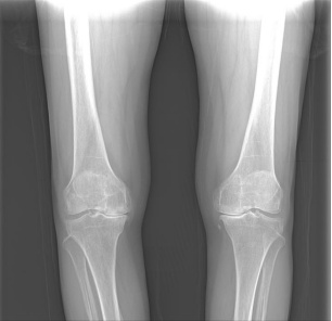
① X线:为膝骨关节炎明确临床诊断的“金标准”,是首选的影像学检查。X线片上的三大典型表现为受累关节非对称性关节间隙变窄、软骨下骨硬化和(或)囊性变、关节边缘骨赘形成。部分患者可有不同程度的关节肿胀,关节内可见游离体,甚至关节变形。


② 磁共振(MRI):表现为受累关节的软骨厚度变薄、缺损,骨髓水肿、半月板损伤及变性、关节积液及胭窝囊肿。MRI对于临床诊断早期膝骨关节炎有一定价值,目前多用于鉴别诊断或临床研究。
③ CT:常表现为受累关节间隙狭窄、软骨下骨硬化、囊性变和骨赘增生等,多用于鉴别诊断。

四、得了膝骨关节炎,该怎么治疗?
我们现在就来回答一开始提出的问题吧!不运动是不是可以有效预防和减缓膝关节炎的出现?这其实是一个常见的误区。我们的膝关节在活动的时候关节软骨之间需要滑液去减轻摩擦力,适量的运动可以刺激滑液的产生,减少磨损还可以营养软骨和半月板等结构。如果长期不运动,关节周围肌肉、韧带都会变得脆弱无力,滑液产生减少反而会导致软骨容易磨损,从而出现膝骨关节炎或导致关节炎加重。因此针对膝骨关节炎主要的治疗方法如下:
基础治疗
① 控制体重
体重控制在合适的范围,但是要注意不能太瘦,尤其是老年人。体重减轻了,膝关节的压力和活动时的摩擦力也会相应减小,软骨也能得到比较好的保护。
② 改变不良习惯
改变不良的生活及工作习惯,尤其是避免长时间跑、跳、蹲、跪,同时减少或避免爬楼梯、爬山等。
③ 适当锻炼
◆ 低强度有氧运动
采用正确合理的有氧运动方式可以改善关节功能,缓解疼痛。应依据患者发病部位及程度,在医生的指导下选择。常见的有适度的健走、游泳、骑自行车等。
◆ 关节周围肌肉力量训练
加强关节周围肌肉力量,既可改善关节稳定性,又可促进局部血液循环,但应注重关节活动度及平衡(本体感觉)的锻炼。

①直腿抬高训练:适合几乎所有人群,尤其是老年人,平躺后,一条腿绷直之后抬高约40cm,维持姿势到抬不动了就放下,这样算1次,每天早上10次,晚上10次。
②靠墙静蹲:适合年龄55岁以下或膝关节软骨情况尚可的人群,靠墙静蹲到大腿发酸即可,量力而为,一天做3次。(如果静蹲时或静蹲后出现膝关节前方疼痛的人,就不适合继续做这个动作了,选择直腿抬高训练即可)常用方法:股四头肌等长收缩训练,直腿抬高加强股四头肌训练,臀部肌肉训练,静蹲训练,抗阻力训练。
药物治疗
膝骨关节炎的药物治疗主要有营养软骨类和消炎镇痛类药物。常用的营养软骨的药物有氨基葡萄糖和软骨素类物质。对于退变的软骨而言,存在基质成分的缺失和改变,补充这些基质成分理论上可以起到营养和保护软骨的作用。对于关节炎早期和预防用药,有一定的作用,但效果相对比较弱,尤其是软骨已经缺损或完全退变的人群,吃该类药物就没什么效果了。
在以上基础治疗进行的同时,可能很多人还是会有膝关节疼痛的症状,对于大多数骨性关节患者来说,轻度至中度疼痛可通过医师指导下口服消炎止痛药来缓解。关节内注射治疗,俗称“加油”,也是一种能够缓解关节症状的治疗方法,常用药物有透明质酸制剂和糖皮质激素。关于糖皮质激素注射,每年最好不超过2-3次,两次注射间隔的时间不应短于3-6个月。
五、手术可以治疗膝骨关节炎吗?
有三种情况需要做手术:吃药已经不解决问题的病人;膝关节疼痛已严重影响生活质量甚至丧失活动能力的病人;关节明显畸形的病人。手术方式根据不同的患者,也有个体化的阶梯性治疗方案,主要手术方式有关节镜检查术、关节软骨修复术、截骨术和关节置换术。
① 关节镜:是使用特殊设备通过小切口进行的微创手术。医生使用关节镜观察关节间隙。可以清除受损的软骨或松散的颗粒,清洁骨骼表面,处理破损的半月板,并在发现这些损坏的情况下修复其他类型的组织。该手术常用于年轻患者(55岁及以下),以延迟更严重的手术。


② 关节软骨修复术:关节软骨修复术包括自体骨软骨移植、软骨细胞移植和微骨折等技术,对年轻、单处小面积负重区软骨缺损、活动量大的患者疗效显著,对老年患者、激素引起坏死、多处损伤等患者疗效较差。
③ 保膝:是一种旨在通过纠正局部骨骼形状来改变整个下肢力线的手术。年纪很轻,膝关节磨损比较局限,但力线已经发生了明显改变,医生可能会建议您先做“截骨保膝”手术。截骨术不是永久性的,以后可能需要进一步手术。

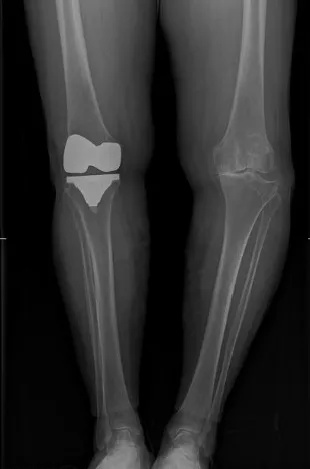
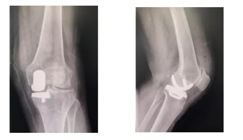
④ 单髁置换术:对于只是膝关节内侧髁磨损,外侧髁依然完好的患者,单髁置换手术将是更好的选择。这种人工关节保留了外侧髁、髌骨、交叉韧带等结构,与传统的全膝关节置换术相比,提供更多的生理功能、更大的活动范围、以及更快的术后恢复。

⑤ 人工关节表面置换术:俗称“换膝”手术,是20世纪最成熟的手术方式之一,已成为严重膝骨关节患者的救星。通过对膝关节的表面进行精确的截骨矫形,安装上寿命20年以上的人工关节假体,让历经磨难的膝关节焕然一新,返老还童。由于手术风险低,效果好,对于50岁以上患有膝关节骨关节炎,生活质量受到严重影响的患者非常适用。
