【学习强国】医技知识丨肠胃里的潜伏者――不是“癌”的间质瘤





我们常说“民以食为天”,大家都知道,只有拥有好的消化功能,才能吃得下每日三餐,化得了五谷杂粮,碰巧哪天肠胃“闹脾气”,那真是严重影响我们的工作与生活。健健康康、舒舒服服的肠胃时刻关系到我们饮食和心情。
来自温州的林女士她就遇到了这么一个糟心事。近一个月来,林女士一直感觉腹胀,吃东西一点胃口都没有,以为是简单的胃病就没有特别在意,真熬不住了,去医院检查一看,可把她吓坏了,肚子里竟然“养”了一个长11厘米的瘤子。她急得四处问诊,好在经过一系列的辅助检查,经温州医科大学附属第一医院胃肠外科王鹏飞副主任医师的诊治,最终确诊为小肠高风险性间质瘤。目前,经过有效的手术和术后辅助化疗,情况比较稳定。
看到这,大家可能有疑问了,胃肠间质瘤是癌吗?能治愈不?下面一一为您解答。

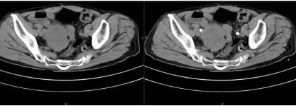
患者腹部CT提示盆腔肿瘤
1.胃肠间质瘤到底是“瘤”还是“癌”?
首先我们明确一点:胃肠道间质瘤并不等同于胃癌或者肠癌。癌是指发生于上皮的恶性肿瘤,一般源于胃肠道的粘膜层,具有浸润性生长和容易复发和转移的特点。而胃肠道间质瘤则发生于胃肠道的间叶组织,发源于固有肌层,其局部侵袭性并不如癌肿。虽然胃肠道间质瘤不是癌,但也有潜在的”癌”的特性,所以一样不能马虎大意。
2.胃肠间质瘤发病率高吗?普通人容易得嘛?
中国是人口大国,胃癌发病率在所有恶性肿瘤中高居第二,每年新增胃癌患者70多万,每年约有50余万患者死于胃癌。因此,大家在生活中谈“癌”色变也是有原因的。然而胃肠间质瘤相对于胃癌来说却是一种罕见病,每年每百万人口中约仅有15个新发病例,按照中国13亿人口来说,每年约新发2万,且以55-65岁年龄段多发。因此,间质瘤在初诊过程中容易被误诊为其他肿瘤,往往需要结合胃镜、超声胃镜甚至手术病理方可诊断。
3.胃肠间质瘤有什么临床表现?
由于症状不明显又缺乏特异性,胃肠道间质瘤往往难以在早期发现,尤其是直径小于两厘米的肿瘤,可能没有任何症状。胃肠间质瘤就像一个“潜伏者”躲在暗处。患者常见的早期表现主要是消化道出血、腹痛、腹块、贫血,部分患者可能会出现肠梗阻症状。许多患者都是在肿瘤普查、体检或其他手术时无意中发现患了此病。像林女士长了这么巨大胃肠间质瘤却一直没有发现,在临床上也是比较罕见的且极易被误诊为妇科肿瘤等。
4.胃肠间质瘤应该怎么治疗?
鉴于间质瘤的特点,通常认为其良恶性常常与病变大小密切相关。一般直径小于2cm的间质瘤称为小间质瘤,大多数微小间质瘤表现为良性肿瘤特性,生长非常缓慢,不会引起不适也不会危及健康,不需要特别治疗,每6个月复查一次即可。然而,大于2cm的间质瘤却会随着体积的增大,表现为恶性肿瘤的特性,部分可发生恶变并转移。在临床上首次就诊的胃肠间质瘤患者中,有50%以上的患者已发生肝转移和腹腔转移,严重影响患者健康,甚至危及生命,像林女士这种大于10cm直径就已经算是高度风险了。
5.如何正确认识胃肠间质瘤?
尽管胃肠道间质瘤有如此可怕的威力,但如果能早诊断、早治疗,通过密切随访,必要时联合手术切除和靶向治疗,很多患者能够痊愈,甚至部分晚期肿瘤患者也可以实现长期“带瘤生存”。中位生存期可达五年以上,甚至达到十年左右。因此,一旦出现消化道出血、腹痛腹胀、腹部包块、贫血、肠梗阻等症状无法解释时,应借助B超、胃镜、CT、超声内镜等辅助检查进一步寻找原因,及早排查,千万不可以掉以轻心,错过最佳治疗机会。