【学习强国】医技知识丨经常心慌胸闷?当心房颤找上门





生活中,大家偶尔会遇到让人心乱如麻或心神不宁的事情,然而这只是代表那一时刻的心情或心境,往往会随着时间的推移渐渐消散。但是,在心血管疾病中有一种心律失常,俗话叫“心脏乱跳”,医学上称为心房颤动。房颤有时可悄无声息,也可让人感觉心乱如麻,浑身无力,甚至呼吸困难。这种疾病发病后往往会逐渐加重且伴随终身。而由房颤导致的中风,轻者将导致患者半身不遂、言语障碍等,严重者甚至会危及生命。
蔡老伯,今年62岁,有高血压病史,因突发口齿不清,右侧肢体乏力来温州医科大学附属第一医院神经内科就诊,诊断为脑梗死。令他绝望的是,这次脑梗死距离他上次脑梗死才过去了一年。自上次脑梗死后,蔡老伯开始非常关注自己的健康状况,该服用的药物一直在按时服用,定期在当地医院的神经内科门诊随访,戒烟戒酒。但他有一个比较明显的感觉,就是最近一段时间连续走路超过10分钟就喘气困难,需要休息几分钟才能缓解。
此次住院,通过查心电图、动态心电图发现阵发性房颤,且24小时房颤负荷在80%以上。心脏彩超提示左房内径51mm,左室舒张末期内径54mm,左室射血分数28%。然而一年前的心脏彩超左房内径仅43mm,左室射血分数61%。可见这一年左房内径明显增大,心功能明显变差。头颅MRI提示左侧额顶叶皮层下急性腔隙性脑梗死;两侧脑室旁多发小缺血灶;右侧颞叶及外囊区软化灶。经心血管内科肖方毅医师会诊后,诊断考虑阵发性房颤,心源性脑栓塞,心动过速型心肌病,高血压病。建议有效抗凝一个月后行房颤射频消融联合左心耳封堵术。

图1:术中心腔内超声指导下零射线电隔离两侧肺静脉
一个月后,肖方毅医师在心腔内超声和三维电解剖标测系统指导下为蔡老伯成功实行房颤射频消融联合左心耳封堵术。这是目前最新的技术,整个消融过程因为有心腔内超声的指引,无需任何射线,直视下精准构建左房模型,精准消融(图1)。消融后肖方毅医师用自己创立的“FLAVOR”术式,在腔内超声指导下顺利植入左心耳封堵器(图2,图3),避免了以往术中需要做经食道心超检查的痛苦。

图2:术中心腔内超声指导下行左心耳封堵术

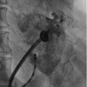
图3:DSA下造影见封堵器完全封堵左心耳
术后第二天,蔡老伯就顺利出院了。术后感觉活动时喘气困难的症状逐渐消失。术后两个月,心脏彩超提示左房内径 47mm,左室射血分数 62.4%,较术前明显改善。在近一年的随访中,一共做了3次食道心超检查,均提示封堵器位置良好,无残余分流。多次心电图和动态心电图均提示窦性心律。在术后3个月即停用口服抗凝药,没有再出现“中风”。
心房颤动是临床最常见的心律失常之一。据《中国心血管病报告2017》显示:我国房颤患者达1000万以上。房颤的发病率随着年龄增加而增高,约1%的患者年龄<60岁,70-80岁年龄组的发病率高达11%。房颤显著增加心衰、痴呆的风险,使卒中风险增加5倍以上,占卒中的20%以上。遗憾的是,部分患者症状不明显、未接受诊治或未引起重视,导致了心衰、卒中等并发症。蔡老伯因为是阵发性房颤,在第一次脑梗死发病时没有发现房颤,直到第二次脑梗死并出现心衰症状,才发现房颤。
对于阵发性房颤,目前一线的治疗方法是导管消融术。但是,消融并不能有效降低卒中风险。因患者的卒中风险高,采取一站式手术暨消融同时植入左心耳封堵器,起到既能解决症状又可预防卒中的目的。随着这方面技术的不断进步,消融已可无射线进行,左心耳封堵术中已可不需要经食道超声检查。

在此温馨提醒大家,特别是老年人,出现心慌胸闷的情况要及时就诊,建议一年查一次以上心电图和动态心电图,可以发现无症状性房颤。有脑梗死症状更要警惕房颤。