【学习强国】医技知识丨怎么区分痔疮还是直肠癌?这两个小知识告诉你





痔疮是很常见的疾病,所谓“十人九痔”。于是,很多人出现便血情况后不以为然,经常自己安慰自己,“这应该是痔疮吧”。没有对此引起重视,不去医院诊疗,自己误认为是痔疮,把直肠癌给耽误了。临床上经常遇到这样的患者,在这里,温馨提醒大家要引起重视。
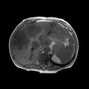
一位46岁男性患者,间歇性大便出血1年余,以为是痔疮,自行到药店买了痔疮药用,便血时断时续。后来体重明显下降,才在家人的建议下来温州医科大学附属第一医院结直肠肛门外科门诊就诊。问诊之后,医生给他做了直肠指检,基本明确是直肠癌而不是痔疮。接下来又安排他做了结肠镜检查和胸腹盆腔增强CT及直肠、肝脏MRI检查,结果发现是直肠癌伴肝转移,属于晚期。患者就这样因为自己的不重视,耽误了病情,非常可惜。


▲ 患者肝脏磁共振显示肝脏布满肿瘤
痔疮和直肠癌的主要症状都是便血,那该怎么区分呢?其实,如果是典型病例,医生在门诊通过问诊和做一个简单的检查,就能基本区分到底是痔疮还是直肠癌。
第一问:“便血的颜色和大便的关系?”
痔疮的便血,一般是间歇性的,在某些情况下诱发或加重,比如喝酒、吃辣椒、久坐,久站以后,或者便秘时大便干燥等等。上完厕所后发现手纸上有血,或者便后滴血,厉害的时候甚至会喷射状出血,的确挺吓人的。但这种出血呢,一般颜色比较鲜红,而且跟大便不混在一起。大便是大便,血是血。而直肠癌引起的便血就不一样了,便的血大多数暗红色,呈果酱样,甚至有胶冻粘液混杂,而且血跟大便常常混在一起,不容易区分。
第二问:“最近的大便习惯是否改变?”
大便习惯的改变指在原来大便习惯的基础上,发生大便次数的变化,可以伴有大便次数的增多以及里急后重等。痔疮患者肠道刺激症状往往不明显,便血时一般没有大便习惯的改变。也就是说,平时一天一次还是一天一次,很规律,只是有可能出现便秘,大便干结等情况。
而直肠癌患者由于中晚期肿瘤导致肠道刺激症状严重,经常有大便习惯的改变。比如说以前大便很规律,一天一次,最多一天两次。而最近不知怎么回事老是要大便,一天三四次甚至很多次,而且出现里急后重,也就是自觉拉不干净,拉了又想拉。部分患者还出现体重下降、消瘦等症状。伴有这种情况的大便出血是直肠癌引起可能性非常大。
直肠指检
(digital rectal examination,DRE)
中国人直肠癌和西方人比较有三大流行病学特点:①直肠癌比结肠癌比例高,大约占60%。②青年人(少于30岁)直肠癌比例高,约占10%-15%。③低位直肠癌占的比例高,约占60%-75%。低位直肠癌通过直肠指检就能摸到。所以结直肠外科医师直肠指检非常重要,相当一部分肠癌患者通过指检就能基本确诊。
在中国,结直肠癌是发病率最高的癌症之一。据2018年国家癌症中心发布的最新数据显示,2014年我国的结直肠癌新发病例达到37万例,约占全世界的26%;发病率约为28/10万人,在所有的恶性肿瘤中排名第三,仅次于肺癌和胃癌。上海、温州等东部发达地区发病率更高。在死亡率方面,中国结直肠癌患者的死亡率约为13.13/10万人,占恶性肿瘤患者死亡总数的7.8%,排在第五位,城市患者的死亡率也相对较高。从数据来看,我国结直肠癌的发病率和死亡率处于持续上升的态势,防治工作仍然任重道远。
当然,不是所有肠癌的患者病情都非常典型。无论如何,当患者出现便血等异常情况时,应该积极去医院找专业医师就诊,必要时做相关的检查(包括直肠指检、大便潜血、结肠镜等检查)来明确诊断。在此,温馨提醒大家,便血时千万别麻痹大意,掉以轻心,自认为是“痔疮”,耽误了病情。
原文链接:
https://article.xuexi.cn/articles/index.html?art_id=16414597417792547301&item_id=16414597417792547301&study_style_id=feeds_default&pid=&ptype=-1&source=share&share_to=wx_single