生后“体无完肤”,竟是罕见基因病



我国是人口大国,同时也是出生缺陷高发国家。出生缺陷可由染色体畸变、基因突变等遗传因素或环境因素引起,其中遗传因素异常是造成出生缺陷的重要原因。出生缺陷通常包括先天畸形、染色体异常和遗传代谢性疾病等,是导致早期流产、死胎、婴幼儿死亡和先天残疾的主要原因。
伴随着国家三胎政策的放开,家家户户爸爸妈妈们对“造娃”又来了兴趣爱好。80后作为中坚力量,面临着高龄及并发症等困扰,虽“造人”困难,但“优生优育”仍是重中之重。
有个女宝宝生后不久却“体无完肤”, 全身遍布红色皮疹、疱疹、伴黄色脱屑痂皮、色素沉着;小小的头顶更是成了“不毛之地”。
入院当日,我院新生儿科团队迅速启用绿色通道,为患儿制定了周密的治疗及护理方案,在缓冲病房即刻施展救治。但是,“英雄无用武之地”,全身遍布的破溃皮疹让建立常规静脉通道变得异常艰巨。我院新生儿护理团队凭借熟练的技巧和耐心,为患儿成功建立了PICC深静脉通道,为后续救治解决了首要难题。同时,考虑皮肤破溃容易引发感染,提供了单间管理,专人专护,力求将感染风险降低。令人欣慰的是,经治疗及特殊护理后,皮疹有所好转。结合皮疹特点、发病时间以及入院后血象提示嗜酸性粒细胞异常增高等特点,我院新生儿科团队进过讨论分析,考虑“色素失禁症”,予基因送检,快速明确了诊断。
什么是色素失禁症
色素失禁症是一种X连锁显性遗传性皮肤病,发病率约5万分之一,男胎多在宫内死亡,女婴可存活,由NEMO功能缺失变异引起,可累及皮肤、眼部和神经系统等多系统。
皮肤表现: 第一阶段 水疱期
第二阶段 疣状期
第三阶段 色素沉着期
第四阶段 萎缩期
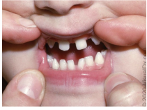
牙齿及口腔表现: 无牙或牙发育不全
腭裂、高腭弓、唾液分泌减少
皮肤附属器异常:
1、头皮和体毛异常,包括瘢痕性脱发、头发稀疏、蓬发以及眉毛和睫毛有异常。
2、指甲营养不良,见于青春期或成人早期。
眼部异常:
视网膜病变、黄斑闭塞性疾病,如眼底出血,未予重视,未经即时干预,可能导致失明。
中枢神经系统异常:
喂养困难、羊癫疯、成人脑卒中等。
罕见病基因检测
据世界卫生组织报道,罕见病具有遗传性,可由染色体或基因缺陷、变异引起,可在出生后或儿童期发病,部分症状持续至青春期或成人期。如家族中有不明原因死胎、死产,不能确诊的疾病,需注意罕见疾病可能,部分可经由基因确诊明确,如存在基因携带等,应选择试管婴儿孕育后代,从而阻断罕见遗传病的遗传路径,为家庭及个人减轻社会负担。
附注:温医大附一院系中国罕见病联盟单位,为减轻(疑似)罕见病患者家庭经济负担,该联盟有免费基因检测公益项目。